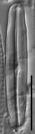
[37791] Sellaphora wallacei
Code de l'Appellation du Taxon:
37791 Nom latin de l'Appellation du Taxon:
Sellaphora wallacei Statut de l'Appellation du Taxon:
Validé Type d'Appellation du Taxon:
Appellation référente Date de création de l'Appellation du Taxon:
Mar, 25/11/2014 Date de la dernière mise-à-jour de l'Appellation du Taxon:
Ven, 28/11/2014 Rédacteur de la fiche de l'Appellation du Taxon:
SANDRE Références Bibliographiques de l'Appellation du Taxon:
2008 Harvard Papers in Botany 13(1):172 Fig.1A Auteur de l'Appellation du Taxon:
(Reimer) Potapova & Ponader Appellation du Taxon Parent:
[9445] Sellaphora Niveau Taxonomique:
Espèce CodeAlternatifAp
Identifiant du code alternatif:
62447 Code alternatif:
SWAL Origine du code alternatif:
REF_OMNIDIA Liste des appellations de taxon synonyme de cette appellation référente:
Image Appellation Taxon:
Source de l'image:
<em>Sellaphora wallacei </em>. In Diatoms of the United States. Retrieved July 01, 2016, from http://westerndiatoms.colorado.edu/taxa/species/sellaphora_wallacei
Auteur de l'image:
Potapova, M. (2011).
Licence de l'image:
CC-BY-NC
Page mise à jour le
13/12/2016
Deconnection
Contact

